世語圖說
2025年11月09日
聯繫我們
首頁
奇趣
心碎!台南女嬰一直被「退回」,好心阿嬤領養後竟然發現「意外」的事實!
2025-07-28
呂純弘
反饋
2
/
4
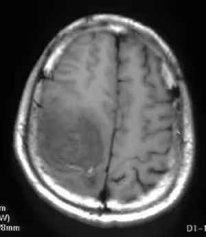
一次例行健康檢查後,醫生告訴何阿嬤,原來,這個寶寶患有重度身心障礙,除腦水腫外,還患有癲癇、過動、斜視等問題。
拿到殘障手冊當天,她抱著明琴崩潰大哭了很久。
上一頁
2
/
4
下一頁
普發一萬確定了! 5種領取方式一次看,少做「1事」恐直接捐國庫
呂純弘 • 123K次觀看
愛吃魚的人注意了!「這2種魚」已被列入致癌名單,它含有「一類致癌物…」再喜歡也少吃
呂純弘 • 11K次觀看
「台灣國寶」驚傳辭世 享壽86歲
呂純弘 • 19K次觀看
比和珅還貪?遺產夠賠兩次甲午戰爭,子孫至今是富豪
花峰婉 • 17K次觀看
老公副駕驚現「紅色痕跡」!我嚇瘋要報警,閨蜜勸我查監控,看到「第5秒」後我淚流滿面
呂純弘 • 10K次觀看
1900年,直隸總督被斬首前的留影,他昂首挺胸,從容赴死
花峰婉 • 6K次觀看
嫌4000萬補償太少!全球最狂釘子戶「要求13億才肯搬」一看「17年後貪心下場」腸子悔青了
呂純弘 • 9K次觀看
他曾是香港最紅風水師,臨終前留給信命之人的「3句話」,耐人尋味
奚芝厚 • 8K次觀看
58歲李興文慘遭詐騙!老婆誤信台灣口音「整個帳戶被清空」 痛心欲絕「只因一簡單步驟」
呂純弘 • 7K次觀看
震撼!卓榮泰宣布「普發1萬元」重大變動
呂純弘 • 23K次觀看
妻子癱瘓 可每天襪子還很髒 丈夫暗地觀查後 直冒涼氣!
呂純弘 • 6K次觀看
女人的這三處越小,男人越喜歡, 哪怕是2婚也不嫌棄
呂純弘 • 6K次觀看
「山雨欲來風滿樓」的上一句,才更經典,整首詩古意幽遠
滿素荷 • 4K次觀看
大姑寄來一箱丑蘋果,我一氣之下全給丟了!但剛下樓,手機突然一響:我傻住了!!
喬峰傳 • 34K次觀看
捷運男「皺眉躲貼妹」 網得知「兩人關係」笑瘋:難怪臉這麼臭
呂純弘 • 8K次觀看
快訊/明天7縣市風雨「達停班課標準」 最新預測出爐
呂純弘 • 5K次觀看
快訊/ 台北颱風假「明停班停課」? 市府回應了
呂純弘 • 8K次觀看
26年過去了!他鬆口當年921「郭台銘捐出巨款」不願具名「默默幫助災民」幾乎沒人知道
呂純弘 • 5K次觀看
17樓「裝防盜窗」遭投訴!鄰居笑他多此一舉,得知真相後羞愧不已:這道防盜窗裝得值
呂純弘 • 23K次觀看
快訊/14縣市風雨「達停班課標準」最新預測出爐
呂純弘 • 4K次觀看
爺爺沉迷看手機!照顧3歲孫「再找到竟成冰冷遺體」媽崩潰看監視器「4度求救被無視」
呂純弘 • 49K次觀看
銀行取款新規定,10月將開始執行了,存款超過10萬一定要注意了
幸山輪 • 22K次觀看
快訊/ 馬太鞍溪溢流釀災!賴清德下令了
呂純弘 • 3K次觀看
快訊/洪水襲花蓮!71歲政壇大咖悲曝「她被埋在床上過世」 痛苦發聲了
呂純弘 • 3K次觀看